Le resurfaçage cutané par laser
Resurfaçage cutané/ Relissage et traitement des rides, cicatrices, cicatrices d'acné et vergetures
Le Laser permet une abrasion superficielle, une destruction de l’épiderme, qui supprime les irrégularités et les tâches solaires.
De plus, un effet thermique au niveau du derme provoque une stimulation de la fabrication de collagène, induisant une tension et une densification de la peau.
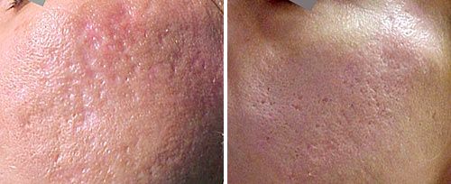
Pour améliorer l’apparence des cicatrices d’acné, une procédure de resurfaçage de la peau précise et en douceur est utilisée. Le faisceau laser Fotona est absorbé par les microcouches supérieures de la peau pour vaporiser le tissu cicatriciel et stimuler la production de nouveau collagène dans le derme, étape importante dans le traitement de l’acné sur le long terme.
Contrairement aux exfoliations chimiques et à la dermabrasion, le relissage de la peau au laser permet au praticien de contrôler précisément la profondeur de la pénétration du laser.
Le resserrement et l’amélioration de l’élasticité du tissu traité sont immédiats.


